Portal del Medicamento
Esta tabla incluye el cuerpo de datos relativo al portal, es decir información relativa a contenidos, mapa web, etc. en función de la página en la que se encuentre el usuario.
Respuesta caso clínico antimicrobianos 3
1. Ante este cuadro clínico, ¿cuál debería ser la sospecha y manera de proceder?
La ITU en el hombre es, por definición, complicada. Se ha de realizar urocultivo y pauta de tratamiento larga de 7 días. Puesto que el paciente tiene síntomas, se recomienda iniciar tratamiento empírico y una vez recibidos los resultados del cultivo y del antibiograma, ajustar el tratamiento antibiótico.
2. El paciente vuelve a los 8 días porque sigue sintomático. Se inicia tratamiento empírico con cefixima 400 mg/24h, 7 días. Los resultados del urocultivo y antibiograma inidcan: E. coli, sensible a fosfomicina y E. faecalis a nitrofurantoína.
Se revisan los urocultivos previos y se observan varios gérmenes implicados: E. coli, Ps. aeruginosa, K. pneumoniae y E. faecalis. El paciente refiere que a veces le pedían la orina, que siempre mejoraba con las pastillas aunque a veces reaparecían los síntomas. Le habían comentado que se debía a la próstata.
Ante esta nueva información ¿cuál debería ser nuestra actuación?
Pautar antibiótico según antibiograma, 7 días, realizar urocultivo y derivar a Urología.
Al tratarse de una infección complicada se ha de realizar urocultivo de control. Por ser un segundo episodio deben descartarse alteraciones estructurales del aparato urinario.
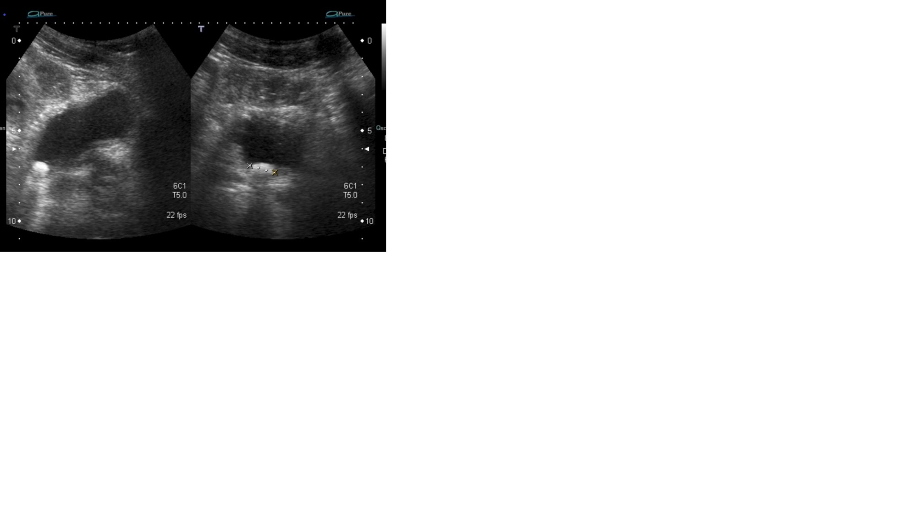
Se realizó una ecografía al paciente que mostraba la siguiente imagen:

Presentaba una litiasis vesical de 1,5 x 1 cm y un residuo post miccional de 150 mL. Fue intervenido realizándose al mismo tiempo resección de la próstata y resolviendo su problema.

